Гипоплазия почки у животных
19.08.2024
Гипоплазия почки
Гипоплазия почки – это врожденное заболевание, для которого характерно аномально маленький размер органа, при этом анатомическая структура почки сохранена.
Данная патология закладывается еще во внутриутробном периоде. После рождения животного почки функционируют нормально, но в пределах своего размера.
Причина гипоплазии почки – это недостаточная масса метанефрогенной бластемы при нормальном врастании и индуцирующем воздействии протока метанефроса. Поэтому все нефроны имеют нормальное строение и функционально состоятельны, но общее их количество меньше нормального ориентировочно на 50%. По существу, это миниатюрная норма. Контралатеральная почка имеет большее количество нефронов, поэтому суммарная функция обычно не страдает.
Первичные причины связывают с генетической предрасположенностью, а так же:
• Внутриутробный пиелонефрит
• Вторичным воспалительным процессом в гипоплазированных почках, которые уязвимы.
• Внутриутробным тромбозом почечных вен, приводящим к остановке в развитии.
• Маловодие во время беременности
• Аномалии положения плода.
• Инфекционные заболевания матери во время беременности
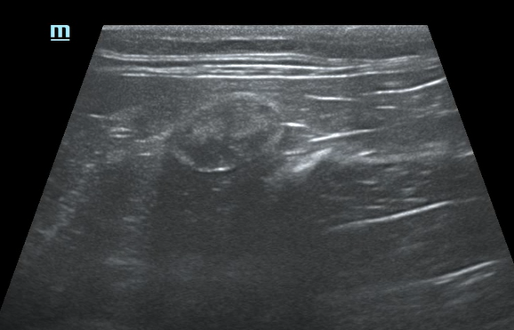
Односторонняя гипоплазия почки (рис 1), которая никак себя не проявляет, лечения не требует. Если функции пораженного органа сохранены хотя бы на 30%, то за животным ведется наблюдение, время от времени проводится обследование. При возникновении симптомов проводится симптоматическое лечение.
Если патологическая почка функционирует плохо, ее удаляют. Нефрэктомия оправдана тем, что недоразвитый орган плохо влияет на здоровый. Он является очагом инфицирования, может вызвать неблагоприятный иммунный ответ организма.


Рис.1. Гипоплазированная почка на он её здорово симметричной почки.
Гипоплазия почки – это врожденное заболевание, для которого характерно аномально маленький размер органа, при этом анатомическая структура почки сохранена.
Данная патология закладывается еще во внутриутробном периоде. После рождения животного почки функционируют нормально, но в пределах своего размера.
Причина гипоплазии почки – это недостаточная масса метанефрогенной бластемы при нормальном врастании и индуцирующем воздействии протока метанефроса. Поэтому все нефроны имеют нормальное строение и функционально состоятельны, но общее их количество меньше нормального ориентировочно на 50%. По существу, это миниатюрная норма. Контралатеральная почка имеет большее количество нефронов, поэтому суммарная функция обычно не страдает.
Первичные причины связывают с генетической предрасположенностью, а так же:
• Внутриутробный пиелонефрит
• Вторичным воспалительным процессом в гипоплазированных почках, которые уязвимы.
• Внутриутробным тромбозом почечных вен, приводящим к остановке в развитии.
• Маловодие во время беременности
• Аномалии положения плода.
• Инфекционные заболевания матери во время беременности
Односторонняя гипоплазия почки (рис 1), которая никак себя не проявляет, лечения не требует. Если функции пораженного органа сохранены хотя бы на 30%, то за животным ведется наблюдение, время от времени проводится обследование. При возникновении симптомов проводится симптоматическое лечение.
Если патологическая почка функционирует плохо, ее удаляют. Нефрэктомия оправдана тем, что недоразвитый орган плохо влияет на здоровый. Он является очагом инфицирования, может вызвать неблагоприятный иммунный ответ организма.


Рис.1. Гипоплазированная почка на он её здорово симметричной почки.