Гидронефроз/Пиелоэктазия, как не перепутать на УЗИ
07.08.2022
Гидронефроз- это стойкое прогрессирующее расширение собирательной системы почек, способное привести к атрофии почечной паренхимы.(рис 1)
Причины гидронефроза: Обструкция нижних мочевыводящих путей, обструкция лоханки или мочеточника: камень, инфильтративные новообразования в области мочепузырного треугольника, стеноз или новообразование в ретроперитонеальной области, врожденные пороки развития.
Пиелоэктазия- это умеренное расширение почечной лоханки без вовлечения в процесс рецессусов лоханки. (рис 2).
Причины пиелоэктазии: Внутривенная инфузионная терапия, применение диуретиков, усиление диуреза вследствие почечной недостаточности, сильно наполненный мочевой пузырь, пиелонефрит или уретерит, эктопия мочеточника или другие врожденные пороки развития.
Неправильная дифференциация эти процессов может привести к фатальным ошибкам в терапии и неадекватной хирурги.
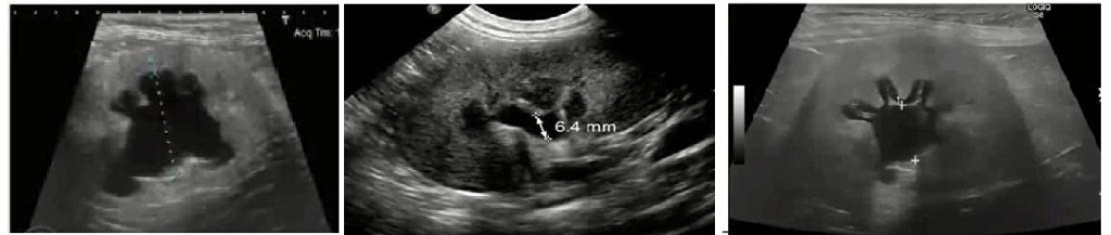
Самая частая ошибка врача ультразвуковой диагностики это неправильное выведение и измерение лоханки (рис 3).
Для адекватных замеров почку необходимо чётко вывести в поперечной проекции чтобы визуализировался весь почечный синус. Лоханку измеряем от почечного гребня до входа в мочеточник. (рис 2). Любая анэхогенная структура в почке всегда взывает сомнения, тут на помощь нам приходит ЦДК или энергетический доплер. С его помощью мы можем отличить сосуды от патологической полости, это как раз очень важно, т.к. вдоль рецессусов проходят междольковые сосуды и их часто путают с расширение рецессусов и неправильно диагностируют гидронефроз.(рис 1).
На данным момент в ветеринарии нет признанной стадийности процесса от пиелоэктазии до гидронефроза. На сканах (рис 4,5,6) представлена самая распространённая визуализация процесса с примерным описание, а чтобы не запутать терапевта в терминалогии необходимо чётко и правильно проводить замеры для дальнейшего наблюдения за пациентом, чтобы адекватно оценивать УЗИ в динамике.

Рис 1. Ультразвуковое и схематическое изображения левой почки в сагиттальной плоскости сканирования. Почечная лоханка расширена, также как и дивертикулы, которые можно отличить от междольковых сосудов (Interlobal vessel) только с помощью энергетического доплера.
рис 2.jpg
Рис 2. Изображение левой почки (показана треугольниками) собаки мелкой породы при исследовании в продольной (А) и поперечной (В). Почечная лоханка (показана длинной стрелкой) расширена-правильное измерение лоханки.

Рис 3. Как не надо мерить лоханку!

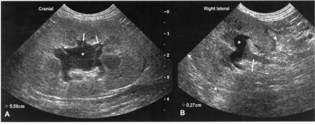
Рис 4. Умеренный гидронефроз. Ультразвуковые изображения правой почки собаки мелкой породы с острой почечной недостаточностью,продольная (А) и поперечная (В) проекции сканирования. Почечная лоханка (*) и рецессусы (показаны короткими стрелками) умеренно дилатированы. Проксимальный отдел мочеточника также умеренно расширен.

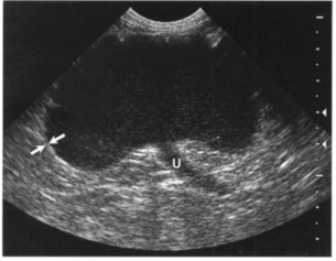
Рис 5. Обструктивный гидронефроз. Изображениеправой собаки с обструкцией мочеточника, вызванной конкрементом, продольная проекция. Обратите внимание на то, что дилатированные рецессусы (*) округлой формы и частично разделены гиперэхогенными перегородками, содержащими внутридольковые артерии и вены. Также визуализируется расширенная проксимальная часть мочеточника (U),сообщающаяся с лоханкой (Р)
Список использованной лиературы.
1. Пенник Д., д'Анжу М.-А. Атлас по ультразвуковой диагностике. Исследования у собак и кошек / Пер. с англ. - М.: «Аквариум Принт»,2015. - 504 с : ил.
Причины гидронефроза: Обструкция нижних мочевыводящих путей, обструкция лоханки или мочеточника: камень, инфильтративные новообразования в области мочепузырного треугольника, стеноз или новообразование в ретроперитонеальной области, врожденные пороки развития.
Пиелоэктазия- это умеренное расширение почечной лоханки без вовлечения в процесс рецессусов лоханки. (рис 2).
Причины пиелоэктазии: Внутривенная инфузионная терапия, применение диуретиков, усиление диуреза вследствие почечной недостаточности, сильно наполненный мочевой пузырь, пиелонефрит или уретерит, эктопия мочеточника или другие врожденные пороки развития.
Неправильная дифференциация эти процессов может привести к фатальным ошибкам в терапии и неадекватной хирурги.
Самая частая ошибка врача ультразвуковой диагностики это неправильное выведение и измерение лоханки (рис 3).
Для адекватных замеров почку необходимо чётко вывести в поперечной проекции чтобы визуализировался весь почечный синус. Лоханку измеряем от почечного гребня до входа в мочеточник. (рис 2). Любая анэхогенная структура в почке всегда взывает сомнения, тут на помощь нам приходит ЦДК или энергетический доплер. С его помощью мы можем отличить сосуды от патологической полости, это как раз очень важно, т.к. вдоль рецессусов проходят междольковые сосуды и их часто путают с расширение рецессусов и неправильно диагностируют гидронефроз.(рис 1).
На данным момент в ветеринарии нет признанной стадийности процесса от пиелоэктазии до гидронефроза. На сканах (рис 4,5,6) представлена самая распространённая визуализация процесса с примерным описание, а чтобы не запутать терапевта в терминалогии необходимо чётко и правильно проводить замеры для дальнейшего наблюдения за пациентом, чтобы адекватно оценивать УЗИ в динамике.

Рис 1. Ультразвуковое и схематическое изображения левой почки в сагиттальной плоскости сканирования. Почечная лоханка расширена, также как и дивертикулы, которые можно отличить от междольковых сосудов (Interlobal vessel) только с помощью энергетического доплера.
рис 2.jpgРис 2. Изображение левой почки (показана треугольниками) собаки мелкой породы при исследовании в продольной (А) и поперечной (В). Почечная лоханка (показана длинной стрелкой) расширена-правильное измерение лоханки.

Рис 3. Как не надо мерить лоханку!

Рис 4. Умеренный гидронефроз. Ультразвуковые изображения правой почки собаки мелкой породы с острой почечной недостаточностью,продольная (А) и поперечная (В) проекции сканирования. Почечная лоханка (*) и рецессусы (показаны короткими стрелками) умеренно дилатированы. Проксимальный отдел мочеточника также умеренно расширен.

Рис 5. Обструктивный гидронефроз. Изображениеправой собаки с обструкцией мочеточника, вызванной конкрементом, продольная проекция. Обратите внимание на то, что дилатированные рецессусы (*) округлой формы и частично разделены гиперэхогенными перегородками, содержащими внутридольковые артерии и вены. Также визуализируется расширенная проксимальная часть мочеточника (U),сообщающаяся с лоханкой (Р)

Список использованной лиературы.
1. Пенник Д., д'Анжу М.-А. Атлас по ультразвуковой диагностике. Исследования у собак и кошек / Пер. с англ. - М.: «Аквариум Принт»,2015. - 504 с : ил.